Resident Case Photos
The following are before and after photos of dental patients who have been treated by the residents at NYC Health + Hospitals/South Brooklyn Health. To apply to the program visit the Dental GPR Page and click on Application Information.
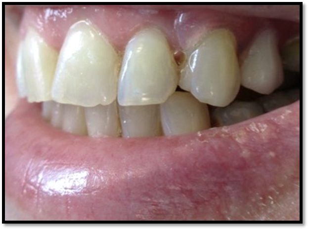
Veneers

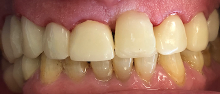
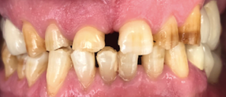
Full Crowns



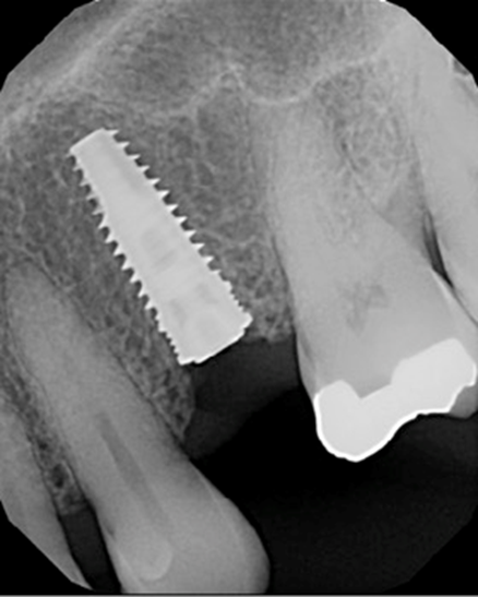
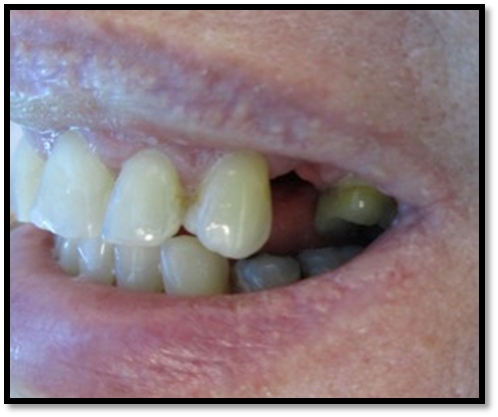
Implant Restoration








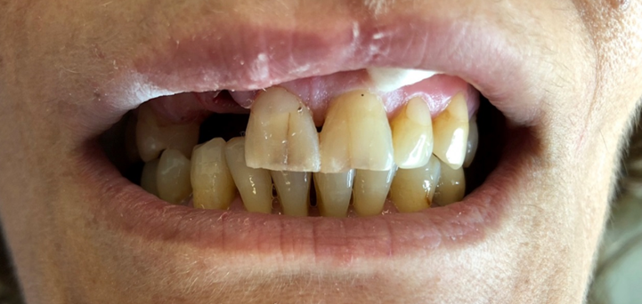
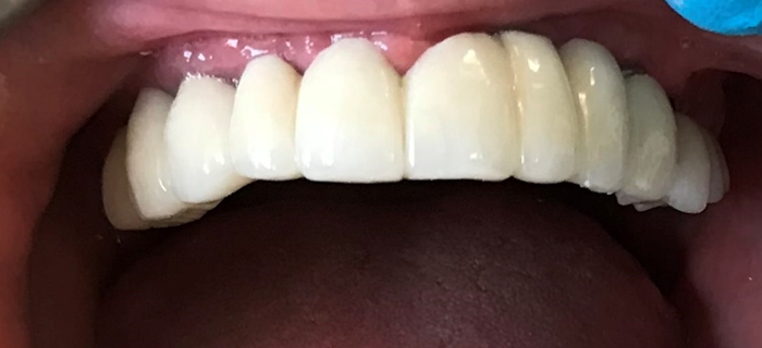
Crowns


PRF Treatment

